前列腺,有男人的生命腺之称,前列腺疾病是成年男性常见疾病,通常指前列腺炎、前列腺增生及前列腺癌。随着人口老龄化,我国前列腺癌的发病率呈明显上升的趋势,成为中老年男性“隐形杀手”。前列腺癌由于发病隐匿,早期缺乏特异症状,这导致很多病例直至中晚期才被发现,耽误了最佳治疗时间。目前,我国大概70%的前列腺癌初次诊断时即已是中晚期病例,对家庭及个人都造成了极大的危害,因此想要更好地防治前列腺癌,前列腺癌的筛查及早期诊断就显得尤为重要。
病例分享
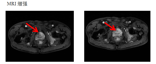
患者何大爷,最近出现尿频、排尿疼痛,肉眼血尿等症状。于是到医院检查,报告上显示“PSA”升高,115.15ng/mL。医生建议做个前列腺增强磁共振。
异常增大的前列腺,增强后呈不均匀明显强化并可见盆腔多发淋巴结转移及骨质破坏。
PSA,中文名为前列腺特异性抗原,是由前列腺的细胞分泌出来的。对前列腺癌特异性低,大概为41%。有很多因素会导致PSA的升高,比如前列腺炎、前列腺按摩及穿刺、前列腺的良性增生、直肠指诊以及骑自行车等,可导致误诊前列腺癌及过度诊疗。
磁共振技术在前列腺疾病筛查中的优势有哪些?
随着MRI技术的高速发展,前列腺MRI已成为前列腺癌诊断和定位的重要影像技术。MRI因具有无创、无电离辐射、软组织分辨率高、可反映组织器官功能学及生化代谢改变等优势,能够多方位成像,能清晰显示前列腺包膜是否完整,了解肿瘤有无扩展至包膜及精囊腺、直肠、膀胱等周围组织及器官,有无盆腔淋巴结转移及盆骨转移等,并可以定位引导前列腺靶向穿刺活检,使其在诊断和评估前列腺癌时表现出较高的应用价值。所以,患了前列腺疾病的患者应该选择磁共振进行辅助检查,尤其是在PSA升高或直肠指检异常的情况下。

古蔺县中医医院放射科分别位于落鸿院区住院部一楼和均吾院区门诊综合大楼二楼,是集检查、诊断于一体的影像检查辅助科室。目前科室有专业技术人员17人,其中副高职称2人,中级职称4人。多名医师、技师曾先后到市级/省级三甲医院进修学习,是一支经验丰富、技术力量雄厚的团队。
科室仪器设备先进,目前拥有GE1.5T核磁共振(MRI)1台,GE64排螺旋CT1台、联影40排螺旋CT1台、GE16排螺旋CT 1台、数字化X线摄影(DR)2台,床旁“C”型臂摄影X线机等大中型先进医疗设备。科室建立了影像工作站、网络传输PACS系统,均采用计算机档案管理方法,极大地提高工作效率,方便查询对比。同时,医院为远程专家会诊和网上交流提供了极大的便利,实现了影像资料网络化、信息化管理。
目前科室主要开展业务:
数字化X线摄影检查项目:头部、颈部、胸部、腹部、盆腔、脊柱、关节、四肢等部位;双下肢全长和脊柱全长摄影等。
CT检查项目:头部、颈部、胸部、腹部、盆腔、脊柱、关节、四肢等部位,常规平扫、增强、多平面重建(MPR),三维成像、血管造影、冠脉CTA成像、泌尿系造影(CTU)、肺功能、钉道重建,气道仿真内镜(CTE),CT引导下定位穿刺,低剂量CT早期肺癌筛查。
磁共振(MRI)检查项目:头部、颈部、腹部、盆腔、脊柱、脊髓、关节、四肢、乳腺等。常规平扫、增强、血管神经成像、水成像、功能磁共振成像技术等,如血管成像(头颈部MRA)、胰胆管成像 (MRCP)、尿路成像(MRU)。
磁共振检查具有无创、无痛苦、无放射损伤、安全舒适的特点。
科室本着“一切为了病人,一切方便病人,一切服务于病人”的服务理念,以精湛的诊疗技术,及时、准确的检查结果,竭诚为患者提供24小时服务。
科室全天24小时候诊,联系电话:
落鸿院区:0830-7101141
均吾院区:0830-7215318
科室地址:
落鸿院区住院部一楼
均吾院区门诊综合大楼二楼
放射科检查项目时间:
DR、CT检查:
周一至周日:24小时
磁共振检查(MRI):
周一至周日 8:00-17:00
领取检查报告时间:
DR、CT检查:
急诊患者检查后0.5小时内领取。
门诊患者检查后2小时内领取。
住院患者检查后12小时内领取。
磁共振检查检查(MRI):
急诊患者检查后1小时内领取。
门诊患者检查后4小时内领取。
住院患者检查后24小时内领取。
供稿:胡 雪(放射科)
审稿:姜雪丽
终审:夏 颍